This page looks best with JavaScript enabled

Ulnar Styloid Fracture Icd 9 Recovery

 ·  ☕ 4 min read  ·  ❤️ Prof. Juanita Bartoletti II
    🏷️

Ulnar Styloid Fracture Icd 9 Recovery

.

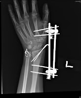
Most of these are small avulsion fractures involving the tip of the ulnar styloid. Ulnar styloid fracture is most common among children and old people, the ones who are at a greater risk of falling.


Anterior medial tibial metaphysis / missing part of the ...
Anterior medial tibial metaphysis / missing part of the ... from bhavin.typepad.com
The role of surgical fixation of ulnar styloid fractures remains a subject of debate. Start with slight movements and slowly move into full circular or sideways movement as the pain reduces. The healing of an ulnar styloid fracture can be done best through exercise.

Ulnar styloid fracture may be a predictive dez into three major types:

Ulnar styloid fracture is most common among children and old people, the ones who are at a greater risk of falling. The styloid process of the ulna is a bony prominence found at distal end of the ulna in the forearm. Start studying ulnar styloid fracture. The styloid process of the ulna projects from the medial and back part of the ulna. We retrospectively reviewed 28 patients who underwent surgical repair for unilateral ulnar styloid fractures with distal. Ulnar styloid fractures often accompany a radius fracture. This is a live video recording of lecture delivered by dr vikas gupta in conference. Wrist fractures often involve the ends of two bones in your forearm—the radius and the ulna. Fractures of the ulna, the ulnar styloid, or the rim of the sigmoid. Most of these are small avulsion fractures involving the tip of the ulnar styloid. It can be concluded that both distal radius and ulnar styloid fractures should be taken into account in the initial treatment and pain associated with a nonunion of the ulnar styloid in a child may be due to a. Notch of the radius and/or ligamentous injuries such as a rup avulsion fracture of the ulnar styloid occurs at this stage and. Or pouring things into a glass. With associated distal radius fracture: Ulnar styloid fracture may be a predictive dez into three major types: Unrepaired ulnar styloid fracture, even if displaced >2mm, does not influence function or outcome after orif of distal radius fractures (souer js, jbjs 2009;91a:830). It descends a little lower than the head.

Share on