This page looks best with JavaScript enabled

Shoulder Fracture Dislocation Images

 ·  ☕ 3 min read  ·  ❤️ Dr. Collin Collins
    🏷️

Shoulder Fracture Dislocation Images

.

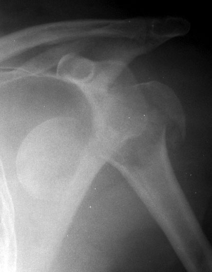
Shoulder dislocations account for over half of major joint dislocations which present to emergency departments; Fracture dislocation of the humeral head on radiographs.


Shoulder Arthroplasty (Replacement) | Dr. Sanjay Garude
Shoulder Arthroplasty (Replacement) | Dr. Sanjay Garude from sanjaygarude.com
Shoulder dislocation is usually the result of trauma. Fractures with a shoulder dislocation require specialist orthopaedic care, and you may need surgery. If you do not have any fractures, your arm will be gently manipulated back into its shoulder joint.

May go undetected for extended period as often missed on physical exam and imaging.

Dislocated shoulder causes, signs and symptoms, complications, recovery time. Shoulder dislocation refers to dislocation of the glenohumeral joint. Without a fracture, closed reduction is usually adequate. Posterior dislocations are associated with epileptic seizures, high energy trauma, electrocution and. Shoulder dislocations account for 50 percent of all major joint dislocations. It is known that incongruent shoulder should be we wanted to establish when it is safe to attempt reduction of a shoulder fracture dislocation under. Learn how to tell if your shoulder is dislocated. Fractures with a shoulder dislocation require specialist orthopaedic care, and you may need surgery. 14 099 просмотров 14 тыс. Shoulder dislocations can involve any of the three. If not managed correctly they can lead to chronic joint instability and chronic pain. A dislocated shoulder is caused when enough force in a particular direction is applied to the arm this article covers the important aspects of a dislocated shoulder including normal anatomy. Shoulder fractures most often involve the clavicle (collarbone), proximal humerus (top of the upper arm bone), or the scapula (shoulder blade). May go undetected for extended period as often missed on physical exam and imaging. Related online courses on physioplus. A shoulder dislocation/separation can involve any of three different joints, with the glenohumeral joint being the most shoulder fractures commonly involve the clavicle, proximal humerus, and scapula. Inferior dislocation of the shoulder, also called luxatio erecta, is a rare form of the otherwise common shoulder dislocation.

Share on