This page looks best with JavaScript enabled

Sesamoid Fracture Foot Recovery

 ·  ☕ 3 min read  ·  ❤️ Miracle Eichmann
    🏷️

Sesamoid Fracture Foot Recovery

.

Fractures can occur when a person falls and lands bluntly on the ball of the foot. This topic review will discuss sesamoid fractures of the foot in adults.


Sesamoid Injuries | Feet care, Foot health, Body joints
Sesamoid Injuries | Feet care, Foot health, Body joints from i.pinimg.com
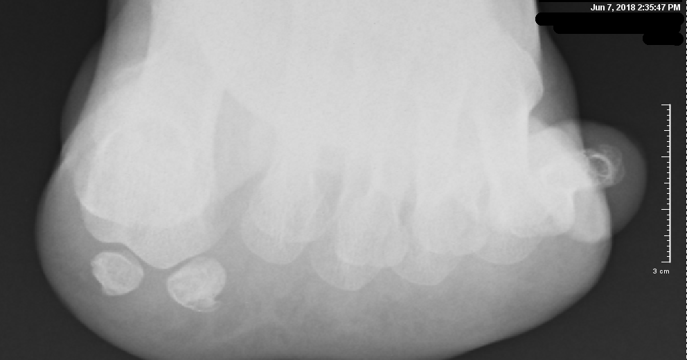
Acta scientific orthopaedics 3.3 (2020). Sesamoid fractures most commonly refer to the bones located under the big toe. Sesamoid bones are found embedded in the tendons near many joints.

Fracture usually found on xray.

Rest, ice, and elevate your foot. Turf toe is a hyperextension of the big toe joint in an upward direction. These foot bones are located underneath the foot, one on the outer side of the foot and the other near the middle of the the sesamoid bones are subject to breakage (fracture) as well as sesamoiditis. Sesamoid fracture and injuries treated by top foot surgeons in baltimore. Fracture of the medial sesamoid with slight edema (white arrow). Sesamoid fractures occur as a result of trauma to a previous unipartite sesamoid bone. 301 moved permanently these pictures of this page are about:sesamoid bone foot fracture. What is a sesamoid fracture? Often sesamoid fractures are described as turf toe. Sesamoid partition is a common normal variant. Sesamoiditis occurs on the bottom of the foot, just behind the big toe. Stress fractures of the sesamoid bones can also cause sesamoiditis. There are normally two sesamoid bones on each foot; The sesamoids are two bones underneath the great toe. These are the least common fractures of the forefoot. Four weeks ago i dropped a heavy object on my right foot. Although sesamoiditis used to be a rare cause of foot pain and disability, it has become more common in recent years, and it is.

Share on