This page looks best with JavaScript enabled

Segond Fracture Ct Images

 ·  ☕ 4 min read  ·  ❤️ Amya Walter
    🏷️

Segond Fracture Ct Images

.

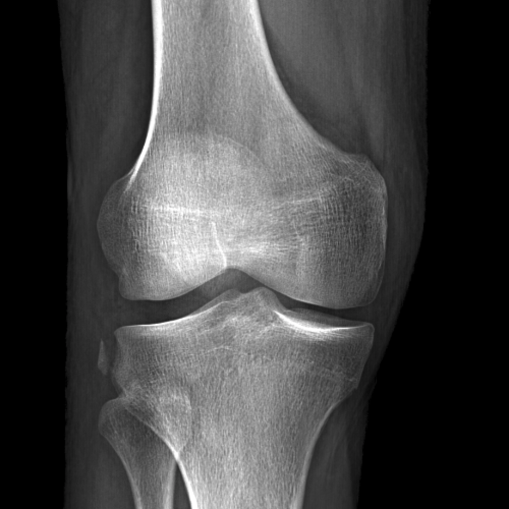
Avulsion fracture (small) of the lateral surface of the lateral tibial condyle. Segond fractures have a high association with acl ruptures, being present in 75% to 100% of cases.


Segond Fracture - ProScan Education
Segond Fracture - ProScan Education from info.mrionline.com
A segond fracture is an avulsion fracture located in the lateral aspect of the tibial plateau of the knee.6. Segond fracture is an avulsion fracture of the knee that involves the lateral aspect of the tibial plateau and is very frequently (~75% of cases) associated with disruption of the anterior cruciate ligament. All will feature in our upcoming emergency radiology course.

Not necessarily pathognomonic of anterior cruciate ligament injury in the.

A segond fracture is an avulsion fracture located in the lateral aspect of the tibial plateau of the knee.6. The mechanism of injury is internal rotation and varus stress. Tibial plateau on lateral aspect shows subtle ill definition and distal tibia below the plateau is unremarkable with no definite avulsion fragment away from the bone even on tunnel view. Segond fracture is an avulsion fracture of the knee that involves the lateral aspect of the tibial plateau and is very frequently (~75% of cases) associated with disruption of the anterior cruciate ligament. Use of ct and mr imaging improves assessment; Segond fracture = avulsion of the anterolateral aspect of the lateral tibial plateau. Varney jb, reverse segond fracture without pcl injury. A segond fracture is an avulsion fracture located in the lateral aspect of the tibial plateau of the knee.6. Ct scan 3d reconstruction shows reverse segond fracture (yellow arrow). The segond fracture is a type of avulsion fracture (soft tissue structures tearing off bits of their bony attachment) of segond fracture — se·gond fracture (sə gawґ) [paul ferdinand segond, french. Segond fracture is an eponym that refers to an avulsion fracture of the anterolateral margin of the proximal. A rare, mirror image of the segond fracture has also been described. A small avulsion that reflects major ligamentous damage. Avulsion fracture of proximal lateral tibia. This is an avulsion fracture of the lateral tibial condyle immediately beyond the inability to flex a knee to 90°. Not necessarily pathognomonic of anterior cruciate ligament injury in the. On the radiograph you could easily miss the segond fracture (red arrow).

Share on