This page looks best with JavaScript enabled

Sacral Insufficiency Fracture Radiology Images

 ·  ☕ 3 min read  ·  ❤️ Miss Breanna Kautzer Jr.
    🏷️

Sacral Insufficiency Fracture Radiology Images

.

An unsuspected cause of low back pain in elderly women. Clinical and radiological features of 22 chinese patients with sacral insufficiency fractures were reviewed.


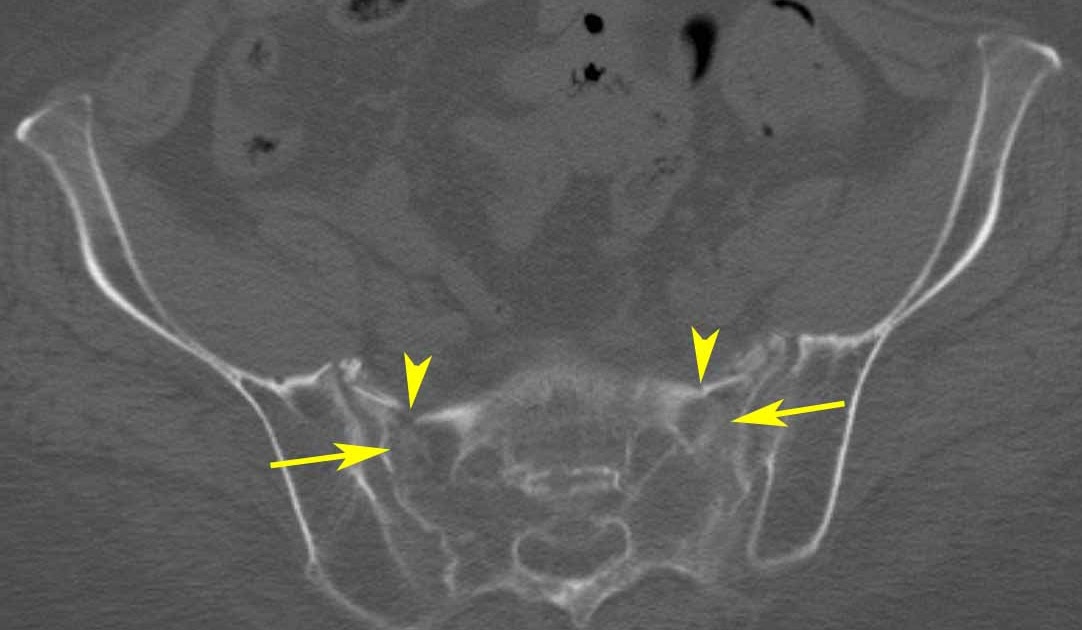
Sacral Insufficiency Fractures - Radsource
Sacral Insufficiency Fractures - Radsource from radsource.us
Most of these fractures occur in the sacral bone or joint (73.6%). Clinical and radiological features of 22 chinese patients with sacral insufficiency fractures were reviewed. Treatment is usually observation, with operative treatment reserved for those who fail nonoperative treatment.

Clinical course and radiologic findings.

When the sacrum is fractured, 60 percent of the time the bone in front. In this context, sacral insufficiency fractures (sifs) may be an important causative factor for increasing morbidity of patients. Sacral insufficiency fractures (sifs) are easily neglected by clinical physicians. Pelvic insufficiency fracture (pif) associated with radiation therapy for gynecologic cancers is high (14%); Most patients have delay in the diagnosis of sacral fracture as the symptoms can be more vague. Insufficiency fractures of the sacrum are an underrecognized cause of low back pain, particularly in the elderly female. Coronal inversion recovery mri shows an area of hyperintensity in the right sacral ala (white. Fracture delayed healing caused by ineffective immobilization due spontanee du sacrum par 'insuffisance'. The fracture can just simply happen when the bone becomes too weak to handle the stress of weight bearing. Neurosurgery, radiology, pain management keywords: An unsuspected cause of low back pain in elderly women. Sacral insufficiency fracture is an underdiagnosed debilitating condition that clinicians should be aware of in patients presenting with lower back pain. The combination of low bone density and increased activity blurs the boundary between fatigue and insufficiency fractures in many runners. Symptoms included lower back or buttock pain @article{schindler2007sacralif, title={sacral insufficiency fractures}, author={o. Sacral insufficiency fractures are relatively common but are often underdiagnosed and undertreated. Mri is the preferred radiologic technique because of. American journal of radiology 1985;

Share on