This page looks best with JavaScript enabled

Right Foot Fracture Icd 10 Therapy

 ·  ☕ 3 min read  ·  ❤️ Rhett Beatty
    🏷️

Right Foot Fracture Icd 10 Therapy

.

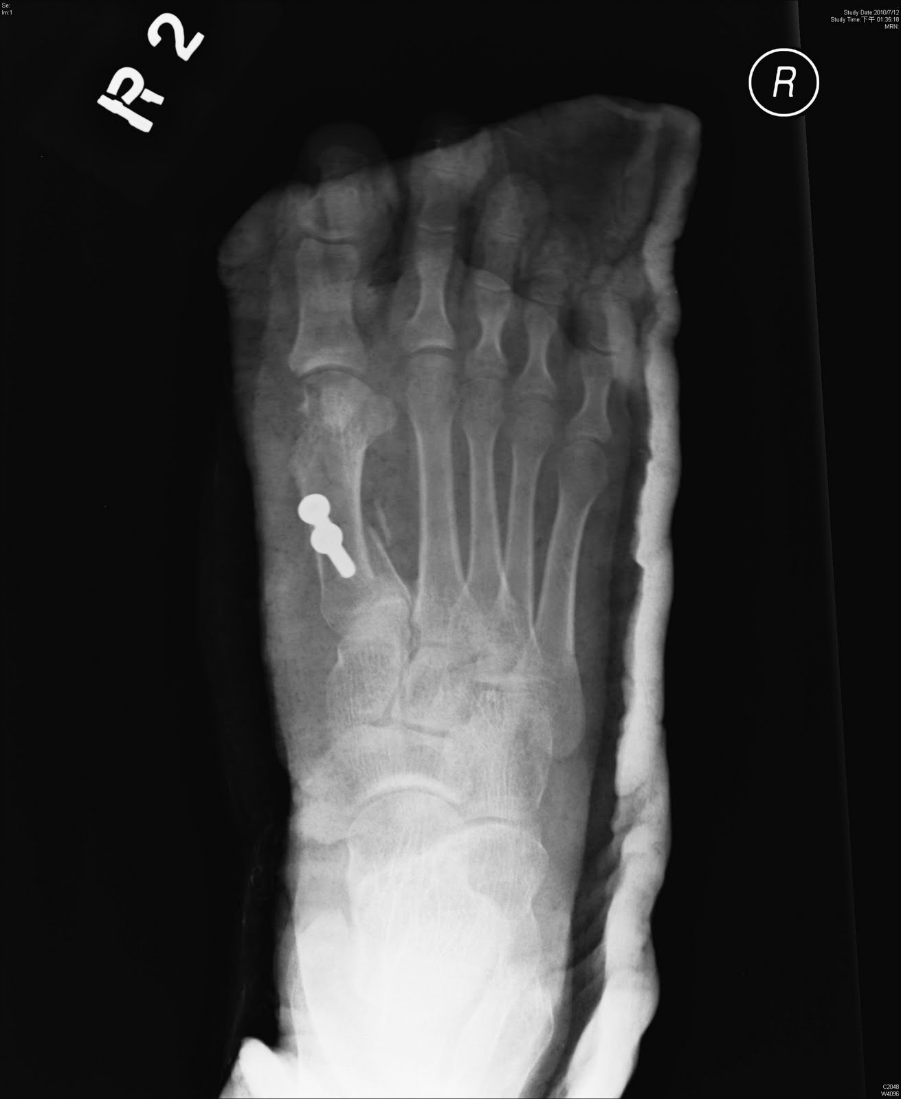
Unsp fracture of right foot, init encntr for closed fracture. Some codes do offer options for unspecified laterality, such as unspecified shoulder, humerus, ankle, or foot.


Chondromyxoid fibroma of rib with a novel chromosomal ...
Chondromyxoid fibroma of rib with a novel chromosomal ... from media.springernature.com
There is a transverse fracture of the distal left radius just proximal to the wrist joint with. The drgs divides all possible principal diagnoses into mutually exclusive principal diagnosis areas referred to as major diagnostic categories (mdc). He or she will check for.

I have come across many coding scenarios like to find an icd 10 code for pathological fracture of vertebrae, femur, humerus or in neoplastic disease.

He or she will check for. For decades healthcare organizations have asked for more detail regarding fractures. Learn vocabulary, terms and more with flashcards, games and other study tools. Unsp fracture of right foot, init encntr for closed fracture. You can always come back for icd 10 code for right foot fracture because we update all the latest coupons and special deals weekly. • the original injury code will follow the patient. Any cut, fracture, burn or scrape gives bacteria an entry point. Displaced fracture of third metatarsal bone, right foot. Unspecified fracture of right foot, initial encounter for closed fracture. Coders will need very specific information in order to code for fractures. Insect bite or sting, venomous (t63.4). Generally speaking, every character to the right of the decimal point adds its own element of meaning. Most of the codes in chapter 13 contain site and laterality designations. Conditions that weaken your immune system such as diabetes. Applicable from 10/01/2019 through 09/30/2020. Show additional info hide additional info. How is a foot fracture diagnosed?

Share on