This page looks best with JavaScript enabled

Pubis Ramus Fracture Therapy

 ·  ☕ 4 min read  ·  ❤️ Donald Braun
    🏷️

Pubis Ramus Fracture Therapy

.

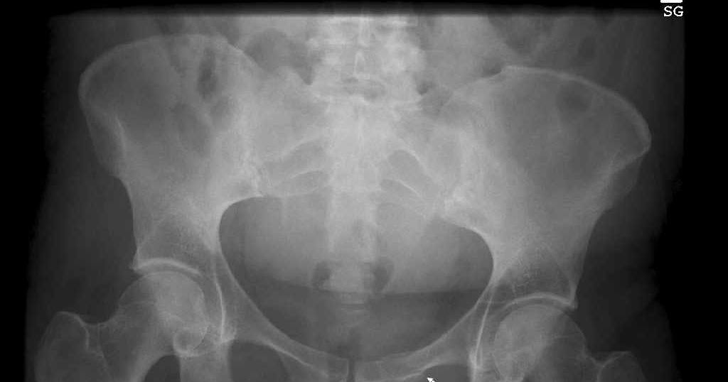
Pubic rami fractures are frequently associated with concomitant posterior pelvic ring injuries, making these injuries more unstable than generally assumed. The optimal surgical procedure for pubic rami fractures must ensure a stable fixation and simultaneously minimize the risk of postoperative complications.


Fractured Inferior Pubic Ramus with Ipsilateral Total Hip ...
Fractured Inferior Pubic Ramus with Ipsilateral Total Hip ... from static-01.hindawi.com
Patients referred for hip radiography with suspected neck of femur fracture can sometimes by suffering from pubic rami fractures rather than neck of femur (nof) fracture. Life threatening stable pubic rami fracture. The fracture will normally take 6 to 8 weeks to heal, but may take longer depending on the severity.

Pubic rami pubic ramus fracture.

The pubis itself is made up of two smaller bones. I'm so scared because i start running competitively again soon. The pubis, the ischium, and the ilium. Inferior pubic ramus spreads out from the lower as well as lateral part of the body of pubis and on the medial side of the obturator foramen creates ischiopubic… 27193 (closed treatment of pelvic ring fracture, without manipulation). No obvious fracture femoral or pelvic fracture can be observed. Fractures of the pubic rami are nearly always associated with further pelvic ring with more complex, unstable pelvic ring injuries, ramus fractures may require fixation to. If so can you describe what it felt like and if it was op, what you did to resolve? Superior pubic ramus fractures were classified according to a new scheme, the nakatani system, which categorizes superior ramus fractures. Is it possible i fractured it again?! Has anyone been diagnosed with osteitis pubis or a pubic ramus stress fracture? If there is a fracture of one pubic ramus there is almost always a second fracture of the other. The optimal surgical procedure for pubic rami fractures must ensure a stable fixation and simultaneously minimize the risk of postoperative complications. Fractures of the pubic rami are the most frequent osteoporotic pelvic fracture. Pubic rami pubic ramus fracture. The pubis, the ischium, and the ilium. The left and right pubic bones are each made up of three sections, a superior ramus, inferior ramus, and a body.

Share on