This page looks best with JavaScript enabled

Pediatric Scaphoid Fracture Recovery

 ·  ☕ 3 min read  ·  ❤️ Claude Murphy
    🏷️

Pediatric Scaphoid Fracture Recovery

.

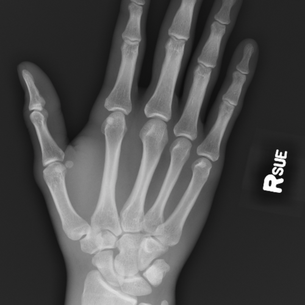
During the first decade of life, enchondral ossification of the scaphoid begins with the appearance of an ossific nucleus. A scaphoid fracture is a break of the scaphoid bone in the wrist.


Prior Scaphoid Fracture - Musculoskeletal Case Studies ...
Prior Scaphoid Fracture - Musculoskeletal Case Studies ... from ctisus.com
Pediatric scaphoid fractures also may be classified according to anatomic location: Nonunion may occur as a. (2015) treatment of acute pediatric scaphoid waist fractures.

Carpal scaphoid fracture, carpal navicular fracture1.

This is a surgical video intended for patient educational purposes. Distal radius fractures, scaphoid fractures, metacarpal and phalangeal fractures, nailbed injuries, and amputations are among the pediatric hand and wrist injuries most often seen by ort … It appears justified to limit radiographic. Fractures of the scaphoid may not be evident on the initial radiographic examination. Scaphoid fractures are the most common type of carpal injuries that occur in children and mri can aid in the diagnosis of a scaphoid injury in pediatric patients with incomplete ossifi cation of the. Carpal scaphoid fracture, carpal navicular fracture1. Superficial palmar branch of radial a volarly & dorsal capsal branch of radial a. Scaphoid fractures are quite common, but they can be difficult to detect. Scaphoid fracture is a common injury encountered in family medicine. Nonunion may occur as a. Contemporary injury patterns and factors letourneau p.r., zlotolow d.a. To avoid missing this diagnosis, a high index of suspicion and a thorough history and physical examination are necessary. During the first decade of life, enchondral ossification of the scaphoid begins with the appearance of an ossific nucleus. Tuberosity, transverse documented surgical methods for managing scaphoid fracture in the pediatric patient. International journal of radiology 2018; Treatment may require a prolonged period of cast immobilization, percutaneous surgical fixation. Once diagnosed, most pediatric scaphoid fractures can be successfully treated with cast immobilization.

Share on