This page looks best with JavaScript enabled

Orthotics For Sesamoid Fracture Images

 ·  ☕ 4 min read  ·  ❤️ Dr. Deonte Huel
    🏷️

Orthotics For Sesamoid Fracture Images

.

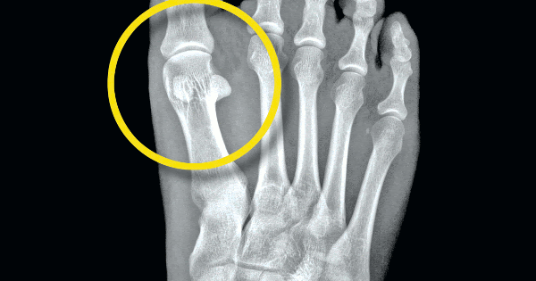
Treatment options include conservative management with orthotics and immobilization, as well as operative interventions that range from fracture/nonunion fixation to various approaches for sesamoidectomy. An acute sesamoid fracture produces immediate pain and swelling at the site of the.


Sesamoid Stress Fractures, What Runners Should Know | DOC
Sesamoid Stress Fractures, What Runners Should Know | DOC from www.docontherun.com
In fact, of all overtraining injuries that could actually seriously put your future of running at risk, it may be the sesamoid fracture that has the potential to ruin your ability to run forever. Simply not wearing the shoes that cause pain may be sufficient. What is a sesamoid fracture?

Mass4d® orthotics proudly invites clinicians to the latest clinical science in foot and lower limb biomechanics.

Indications for the inverted orthotic technique. A sharp fracture line is seen separating irregular opposing surfaces of the sesamoid fragments. Treatment options include conservative management with orthotics and immobilization, as well as operative interventions that range from fracture/nonunion fixation to various approaches for sesamoidectomy. Symptomatic sesamoid bone fracture, fracture nonunion, or congenital bipartite sesamoid bone after at least 6 weeks' failure of nonsurgical treatment. Acute fracture of the fibular sesamoid in a young athlete. Indications for the inverted orthotic technique. A chronic sesamoid fracture produces longstanding pain in the ball of the foot beneath the big toe joint. Sesamoid stress injury/fracture stress fractures are relatively common in the sesamoid in athletes or dancers that are required to be on the ball of the it can take many months before the bone heals completely and utilization of an orthotic following the healing would further unload the sesamoid. Sesamoid injuries and sesamoiditis treatment guide. This is combined with the cushioned insole and a. I am a college runner that's been out with a foot injury for almost 8 months now. 94 sesamoid disorders account for 9% of foot and ankle injuries and 1.2% of running 95 injuries.2 although any patient can suffer from various forms of sesamoid disorder. Sesamoid stress fractures may be one of the very worst injuries affecting runners. The two major sesamoid bones in the foot lie under the first metatarsal head. The cast should include the entire hallux to prevent continued metatarsophalangeal dorsiflexion.15 orthotics such as steel shank and rocker sole boots help to reduce stress at the metatarsophalangeal joint.13 stress fractures may take months to. Sesamoid fracture can also cause pain, moderate swelling, and possibly inflammation. An acute sesamoid fracture produces immediate pain and swelling at the site of the.

Share on