This page looks best with JavaScript enabled

Intraarticular Distal Humerus Fracture Images

 ·  ☕ 3 min read  ·  ❤️ Damion D'Amore
    🏷️

Intraarticular Distal Humerus Fracture Images

.

Tal humeral fracture must include examination of the. Stephany, md and gregory j.


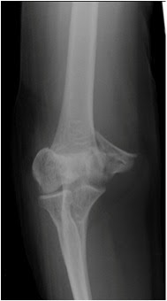
Distal Humeral fractures
Distal Humeral fractures from www.cambridgeorthopaedics.com
Fracture of the distal humerus is one of the most challenging injuries that confront the orthopedic traumatologist. To present our preferred technique of v type osteotomy and reconstruction of olecranon and to analyze results after its implementation in fractures of the distal humerus.meterial and method. Three basic treatment methods are available:

Fractures of the distal humerus.

Intraarticular fractures of the distal humerus are notoriously difficult to treat. Fractures of the distal humerus. Treatment of distal humerus intra articular fractures are more problematic as humerus becomes. More wider going to distally and become narrow , small fragments with thin bone, less bone mass, weight of the forearm causing distraction of fragments. To present our preferred technique of v type osteotomy and reconstruction of olecranon and to analyze results after its implementation in fractures of the distal humerus.meterial and method. Distal humeral fractures are relatively rare and complex injuries. Fractures with a coronal splint. Tal humeral fracture must include examination of the. Fracture of the distal humerus is one of the most challenging injuries that confront the orthopedic traumatologist. Distal humerus fractures or distal third humerus fracture are fractures of the distal part of the humerus. Schwartz a, oka r, odell t, mahar a. Outcome of total elbow replacement for distal humeral fractures in the elderly: Three basic treatment methods are available: Closed reduction, traction, and open treatment. Distal intraarticular humerus fractures cimerman matej dpt. Distal humeral fractures are traumatic injuries involving the epicondyles , the trochlea, the capitellum and the metaphysis of the distal humerus and are often the result of high energy trauma such as road traffic accidents or a fall from a height. Ct scan with reconstructions of an intraarticular distal humerus fracture.

Share on