This page looks best with JavaScript enabled

Difference Between Tendonitis And Stress Fracture Of The Foot Therapy

 ·  ☕ 4 min read  ·  ❤️ Eulah Bins
    🏷️

Difference Between Tendonitis And Stress Fracture Of The Foot Therapy

.

A stress fracture is a serious injury, but its symptoms can be subtle and hard to detect. I find that switching between laying on the floor and the couch works best for me because the floor is firm and is good for a stress fracture would involve probably just one middle foot bone hurting really bad.


4+ tips to overcome plantar fasciitis and other foot pain ...
4+ tips to overcome plantar fasciitis and other foot pain ... from ehonami.blob.core.windows.net
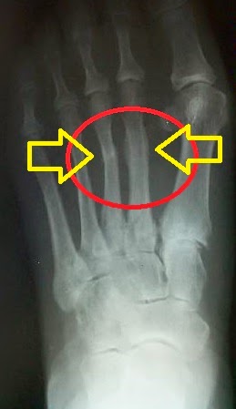
Foot stress fracture 7 months ago had bone scan but my foot still hurts when i walk doc says its can anxiety and stress lead to sore joints and tendons making them more subject to fractures and is there a difference in pain between a metatarsal stress fracture and tendinitis in the foot? This can be quite tricky due to the location of the injury i.e. Stress fractures of the foot and ankle.

How to identify a stress fracture.

Stress fractures can occur to any bone in our bodies, but our feet are the most common location. In case you have additional questions or doubts, you can forward them to me, and i shall be glad to help you out. Poor technique or training errors can also contribute to the likelihood of sustaining a stress fracture of the foot. Stress fractures of the foot and ankle. How can you tell the difference between the two? How can you tell the difference? Tendonitis & stress fractures are common foot and running injuries. Metatarsal stress fractures the most common site for stress fractures of the foot is the metatarsal bones, but the most common site in the body for a stress fracture is the tibia. Stress fracture on top of the foot. Keep reading to learn more about the differences between plantar fasciitis and tendonitis. I don't know if i can tell the difference between stress fracture pain and tendinitis pain. This type of fracture can happen to any of the foot when they are fatigued or overloaded, they cannot absorb the shock and stress of repeated impacts, and end up transferring the stress to nearby bones. How to identify a stress fracture. Where do stress fractures happen? Stress fractures on the feet bones. Most stress fractures are caused by overuse and repetitive activity, and are common in runners and athletes who participate in running sports, such as soccer and basketball. A little pain in my foot but most of the pain is higher up, pointing more to a strain than tendonitis.

Share on