This page looks best with JavaScript enabled

Blister Fracture Images

 ·  ☕ 4 min read  ·  ❤️ Ms. Kylee Terry
    🏷️

Blister Fracture Images

.

Fracture blisters occur around the region of a broken bone, specifically in areas where there is very less fat between the bone and the skin, such as: Fracture blisters occur on skin overlying a fractured bone, and fractures complicated by the development of overlying blisters remain a clinical dilemma in orthopedics.:43.


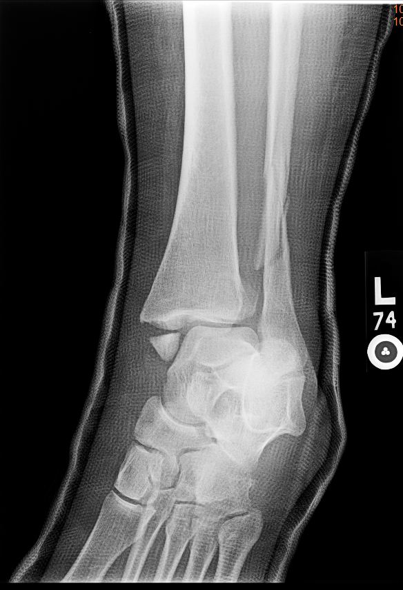
Displaced oblique fracture of the distal tibia with ext ...
Displaced oblique fracture of the distal tibia with ext ... from openi.nlm.nih.gov
Etiology represents a combination of excessive swelling and. Fracture blisters are a rare occurrence after you fracture or break a bone. Fracture blisters occur on skin overlying a fractured bone, and fractures complicated by the development of overlying blisters remain a clinical dilemma in orthopedics.:43.

A review of the literature.

Fracture blisters occur on skin overlying a bone fracture, and fractures complicated by the development of overlying blisters remain a clinical dilemma in orthopedics. Fracture blisters can be seen in open fractures, but are rare. Va doctors postponed surgery to give the blisters time to heal. Large fracture blisters swelled over his injury while he traveled from his cabin to the clinic and on to seattle. Fracture blisters can occasionally be seen to form even after uneventful elective foot and ankle surgery (figure 2). I underwent a wide resection surgery to remove a desmoid tumor. Etiology represents a combination of excessive swelling and. Fracture blister on wn network delivers the latest videos and editable pages for news & events, including entertainment, music, sports, science and more, sign up and share your playlists. Desai a clinical and histological study was performed on fracture blisters found in association with 13. Often showing up days after an injury, it can make people nervous that something is going wrong. I have several fracture blisters along my incision. A prospective study of 53 cases. Varela cd, vaughan tk, carr jb, slemmons bk. A fracture blister will usually appear about two and a half days after an injury. Questions and answers on fracture blisters. Fracture blisters occur on skin overlying a bone fracture, and fractures complicated by the development of overlying blisters remain a clinical dilemma in orthopedics. Technical called a hemorrhagic blister, which in my case represent a more severe injury where the dermis is completely stripped of epidermal cells.

Share on