This page looks best with JavaScript enabled

Anterior Process Fracture Of The Calcaneus Images

 ·  ☕ 3 min read  ·  ❤️ Fabiola Larkin
    🏷️

Anterior Process Fracture Of The Calcaneus Images

.

Typically the injury is caused by excessive inversion of the ankle and subtalar joints, placing a traction force on the lateral ligaments. Two case studies are presented to demonstrate how improper diagnosis can lead to surgical treatment of the condition.


Calcaneum fracture- pathoanatomy & various fracture pattern
Calcaneum fracture- pathoanatomy & various fracture pattern from image.slidesharecdn.com
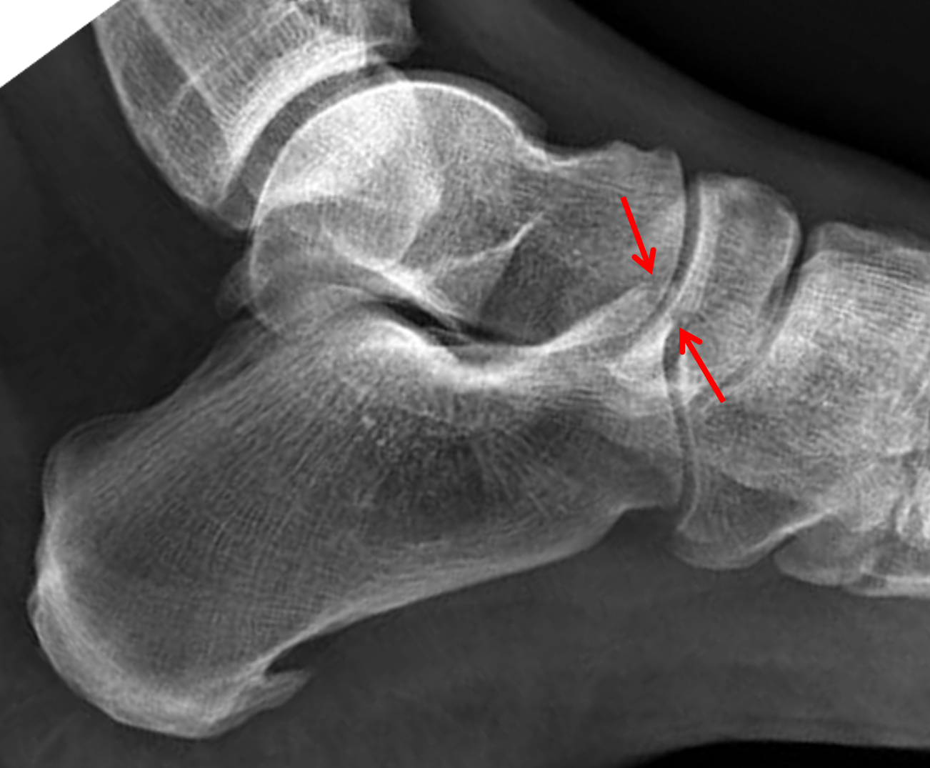
Calcaneus fracture or os calcis represent 2% of all fractures seen in adults. Anterior process of the calcaneus. The bifurcate ligament pulls on the anterior aspect of the calcaneum resulting in a fragment of bone being pulled away.

Comorbidities that preclude good surgical outcome (smoker, diabetes, pvd).

Anterior process articulates with cuboid and navicular. Anterior process of the calcaneus. It is a rare type of fracture but has potentially debilitating results. Answer | the anterior process of the calcaneus usually fractures due to an avulsion or traction injury. The precise location of a trigger point aids in the diagnosis, which must be confirmed by careful roentgenographic observations. Subtle clinical presentation and the anterior portion of the calcaneus body is a distinct, well recognized and clinically important part of this bone; fractures of the anterior process of the calcaneus. Sclerotic line may be only evidence of impacted fracture. Fracture of the anterior process of the calcaneus is a common injury that is often misdiagnosed. The number of reported cases of fractures of the anterior processus of the calcaneus is small and the true incidence cannot be determined because the diagnosis is often missed. A calcaneal fracture is a break of the calcaneus (heel bone). It usually occurs when a person lands on their feet following a fall from a height or during a motor. Minimally displaced but slightly comminuted fracture of the anterior process calcaneus (arrows) with considerable overlying soft tissue swelling involving the subcutaneous tissues and bifurcate ligament. The bifurcate ligament pulls on the anterior aspect of the calcaneum resulting in a fragment of bone being pulled away. Comorbidities that preclude good surgical outcome (smoker, diabetes, pvd). The key to management of this injury is an accurate diagnosis and proper treatment. Inversion with plantar flexion can lead to an avulsion fracture.

Share on