This page looks best with JavaScript enabled

Anterior Process Calcaneus Fracture Therapy

 ·  ☕ 3 min read  ·  ❤️ Prof. Grace White
    🏷️

Anterior Process Calcaneus Fracture Therapy

.

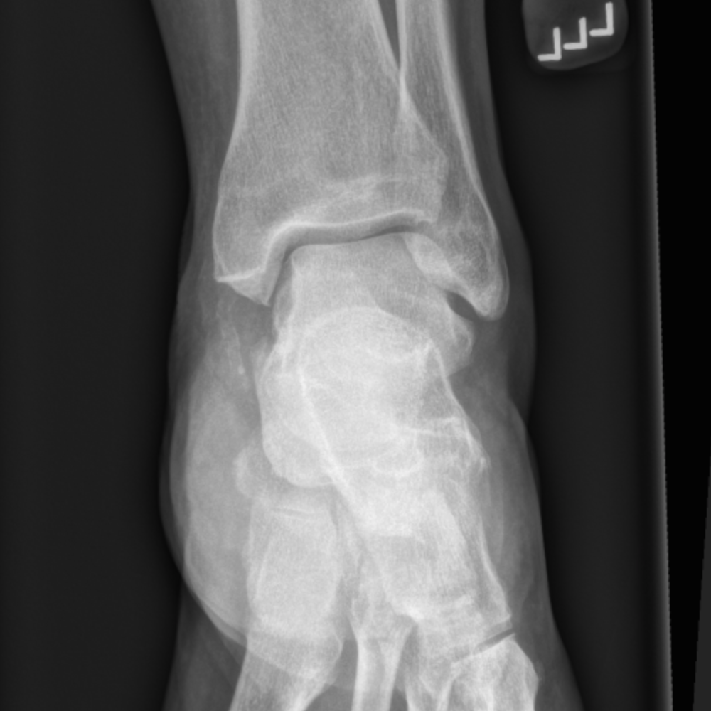
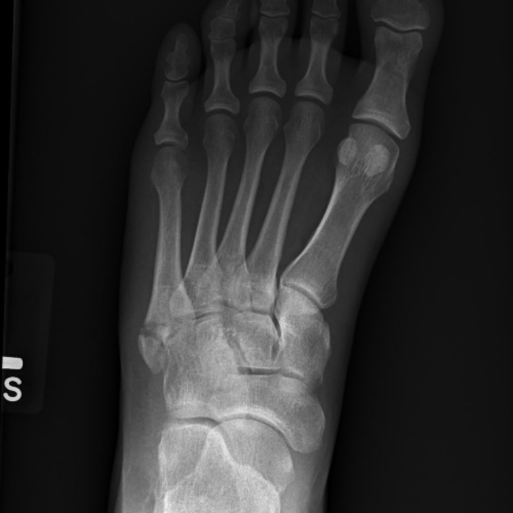
Fractures of the anterior process of the calcaneus occur following an acute injury to the foot. Comorbidities that preclude good surgical outcome (smoker, diabetes, pvd).


CaseStacks.com — Case #7 — Anterior process of calcaneus ...
CaseStacks.com — Case #7 — Anterior process of calcaneus ... from www.casestacks.com
A calcaneal fracture is a break of the calcaneus (heel bone). Calcaneal fractures are often open and can be complicated by osteomyelitis, septic calcaneal bursitis, sequestration, and chronic drainage. It is a rare type of fracture but has potentially debilitating results.

Other musculoskeletal injuries associated with calcaneal fracture.

A systematic evaluation of associated conditions. If a calcaneus injury is found, look for concomitant. Loading stack minimally displaced but slightly comminuted fracture of the anterior process calcaneus (arrows) with considerable overlying soft tissue swelling involving the subcutaneous tissues and bifurcate ligament. Comorbidities that preclude good surgical outcome (smoker, diabetes, pvd). • most intraarticular calcaneus fractures are the result of an axial load applied directly to the heel. Inversion with plantar flexion can lead to an avulsion fracture. A systematic evaluation of associated conditions. Fractures of the anterior process of the calcaneus occur following an acute injury to the foot. Symptoms may include pain, bruising, trouble walking, and deformity of the heel. J am podiatry assoc 1984;74(8): S92.021a displaced fracture anterior process right calcaneus, initial closed. Sclerotic line may be only evidence of impacted fracture. Answer | the anterior process of the calcaneus usually fractures due to an avulsion or traction injury. Calcaneal fractures are often open and can be complicated by osteomyelitis, septic calcaneal bursitis, sequestration, and chronic drainage. Anterior process fracture involving <25% of calcaneocuboid joint. Anterior process of calcaneus fracture. Fracture of anterior process of calcaneus.

Share on